





3D列印輔助醫療運用在墊下巴整形手術,目前市面上的做法,皆是將病患的下顎骨角列印打模後,將現成有的公版模型,進行術前的比對,複雜一點的,可能將比對的模型或切或磨。現在已經有了突破一定須使用現成公版模型的技術,可以製作客製化下巴模型,為病患設計一款與病患臉型吻合,專屬於病患自己的全3D列印下巴。
全3D列印墊下巴手術 - 全程3D列印下巴整形手術製作內容
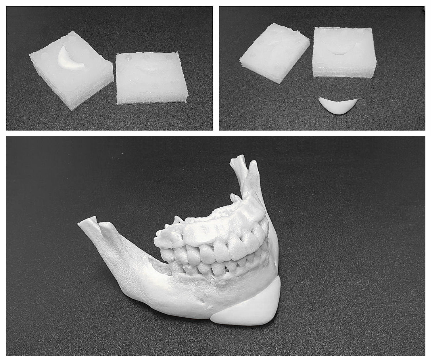
【病患下顎模型】

【依照病患臉型與下顎模型製作之3D列印下巴樣模】

【選定的3D列印下巴樣模,製作陰模】

【手術當天骨水泥灌入陰模,形成之植入模型】












































【全3D列印下巴流程】國內客戶完整版
確認想施作全3D列印下巴之病患,建議先至診所與醫師諮詢,讓醫師了解病患希望達到的期望值,病患可提供醫師參考範例的照片、圖片等,以便醫師明確的了解
需先拍攝下顎骨3DCT - DICOM檔案,可請診所協助預約,提供可拍攝地點詳細資料如下:
台北 歐登醫事放射所 02 2711 8201 台北市大安區復興南路一段204號12樓
台中 元易醫事放射所 04 2321 8089 台中市西區台灣大道二段300號
拍攝完3D CT - DICOM檔案後,醫事放射所會將檔案傳給診所,診所與廠商連繫後開始製作下顎骨3D列印模型【需三天時間】
拿到製作完成的下顎骨3D列印模型後,廠商會與醫師溝通製作出3D下巴模型樣品3-5種(此模型非直接植入隻模型,只是樣品供病患核對與醫師溝通),待3D下巴模型樣品製作完成【需一天時間】,便可約病患回診與醫師討論最後確認要植入的下巴模型使哪一種,選定後即可安排手術時間。
以上步驟完成後,便將選定的3D下巴模型樣品樣片提供廠商製作3D下巴模型陰模【需三天時間】



Day 1
術前諮詢一(討論方向) / 拍攝3D CT – DICOM / 送件製作下顎骨3D列印模型
Day4
下顎骨3D列印模型完成 / 製作3D下巴模型樣品 / 術前諮詢二(選定模型) /送件製作3D下巴模型陰模
Day7
3D下巴模型陰模完成 / 進行手術
3D下巴模型陰模,主要是在手術時利用骨水泥材質進行灌漿塑形,骨水泥本身是醫療材料,廣泛應用在各式醫療手術上的合法材質,因此,由先前打樣出的3D下巴樣品所製作的陰模,灌漿後即可製作出1:1完整的下巴模型,整個下巴過完全程利用3D列印技術,因此稱作「全3D列印墊下巴手術」,已做到完全客製化的流程,更能符合消費這需求,大大降低一般下巴手術與臉型不相容的違和感。
【全3D列印下巴流程】國外客戶VIP版
因應國外客戶無法那麼頻繁的往返台灣,因此,更設計出針對國外客戶適合的VIP線上處理方式,做法如下
術前與醫師進行視訊諮詢,了解病患的需求與期望值,病患並提供參考範例將資料傳給診所服務人員。
國外客戶需先拍攝下顎骨3D CT - DICOM檔案,提供各國可拍攝地點詳細資料如下:
香港地區
卓健診斷放射中心 (852) 2809 0709 佐敦九龍佐敦道8號 Lg及ug
瑞光放射診斷中心 (852) 3607 7600 香港中環民光街11號3號碼頭2層
普康醫學影像中心 (852) 2577 9313 銅鑼灣軒尼詩道555號東角中心19樓1901 D室
普康醫學影像中心 (852) 2372 9622 香港九龍佐敦彌敦道238號15樓1507-11室 (港鐵佐敦站E出口)
普康醫學影像中心 (852) 3529 1983 香港九龍長沙灣醫局街555號怡高工業中心8樓4室 (港鐵長沙灣站B出口)
澳門地區
標準醫學診斷 (853)2831 6891 澳門筷子基南街44號多寶花園地下J鋪(筷子基衛生中心後面)
拍攝完3DCT - DICOM檔案後,將檔案傳給診所,診所與廠商連繫後開始製作下顎骨3D列印模型【需三天時間】
拿到製作完成的下顎骨3D列印模型後,廠商會與醫師溝通製作出3D下巴模型樣品3-5種(此模型非直接植入隻模型,只是樣品供病患核對與醫師溝通),待3D下巴模型樣品製作完成【需一天時間】,便可約病患視訊諮詢與醫師討論最後確認要植入的下巴模型使哪一種,選定後即可安排手術時間。
以上步驟完成後,便將選定的3D下巴模型樣品樣片提供廠商製作3D下巴模型陰模【需三天時間】



Day 1
術前視訊諮詢一(討論方向) / 拍攝3D – DICOM / 送件製作下顎骨3D列印模型
Day4
下顎骨3D列印模型完成 / 製作3D下巴模型樣品 / 術前視訊諮詢二(選定模型) /送件製作3D下巴模型陰模
Day7
3D下巴模型陰模完成 / 可安排來台手術時間
3D下巴模型陰模,主要是在手術時利用骨水泥材質進行灌漿塑形,骨水泥本身是醫療材料,廣泛應用在各式醫療手術上的合法材質,因此,由先前打樣出的3D下巴樣品所製作的陰模,灌漿後即可製作出1:1完整的下巴模型,整個下巴過完全程利用3D列印技術,因此稱作「全3D列印墊下巴手術」,已做到完全客製化的流程,更能符合消費這需求,大大降低一般下巴手術與臉型不相容的違和感。

墊下巴手術的植入材質有哪些?手術進行方式為何?;傳統矽膠墊下巴手術;卡麥拉墊下巴手術;Gortex墊下巴手術;人工骨墊下巴手術;3D列印墊下巴手術;V-Line下巴截骨手術;墊下巴手術風險後遺症副作用;墊下巴手術市場行情;墊下巴手術術前術後須知;墊下巴手術問題線上解惑;墊下巴手術傷口疤痕及恢復期腫脹過程;墊下巴手術前後比對案例心得日記
【療程效果會因個人體質不同而有所差異】
最佳瀏覽模式:解析度1024x768或以上,瀏覽器建議使用IE7.0或FireFox3.0以上版本
Copyright © 2026 教主整形外科診所 All Rights Reserved 請尊重智慧財產權,勿任意轉載,違者依法必究。
台北諮詢專線:02-2368-2000 | 診所地址:台北市大安區和平東路一段6號5樓
台中諮詢專線:04-2322-2210 | 診所地址:台中市西屯區大隆路168號2樓
LINE ID / taichung_bishop | 微信ID / taichung_bishop
本診所網站內所有案例皆與病患簽署同意書,徵求病患同意後在網站內供網友作為療程參考;另外,網站中所有使用手術項目或任何醫學美容療程項目之名詞,為業界或媒體及網路經常引用或已成常態之名詞,若察覺名詞有疑慮或有任何問題,請向本診所留言系統或致電本診所告知,非常感謝您的指教,若有不恰當或違反醫療法規之內容,本診所院即刻修正刪除,敬請見諒。
【提醒】行政院衛生福利部公告:「『美容醫學』一般係指由專業醫師透過醫學技術,如:手術、藥物、醫療器械、生物科技材料等,執行具侵入性或低侵入性醫療技術來改善身體外觀,而『非以治療疾病為主要目的』」。本宣傳由合格醫師透過醫學技術執行具低侵入性醫療技術來「改善」身體外觀,依據行政院衛生福利部衛署醫字0990262180號、衛部醫字第1031662939號辦理,屬於仿單核准適應症外的使用(Off-label use),醫師應確實告知使用原因及可能造成的風險,並取得其同意始得使用;有關適應症、禁忌症等副作用等問題,醫師將依個案說明。
本網站禁止任何網際網路服務業者轉錄其網路資訊之內容供人點閱,但以網路搜尋或超連結方式,進入醫療機構之網址(域)直接點閱者,不在此限。
風險提示:任何手術皆有風險,請謹慎評估!new